Үйлчилгээ
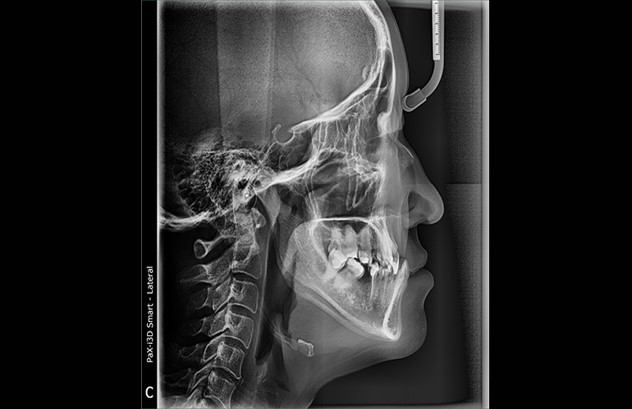
Өвдөлтгүй түргэн хугацаанд шинэ технологиор мэс ажилбарыг хийж байна. Имплант нь шүд байхгүй хэсэгт эрүүний ясанд унасан шүдний ёзоорын үүргийг гүйцэтгэдэг тусгай титанаар хийсэн эргийг суулган, эрүүний ястай бүрэн бэхжсэний дараа хиймэл цөгцийг холбон, өөрийн шүд шиг ашиглаж болох хиймэл шүдийг хэлнэ. Имплантын давуу тал нь энгийн хиймэл авагддаггүй, өөрийн шүдний 90% тай тэнцэх шүд учраас маш эвтэйхэн зовиургүй байдаг.
2020 онд манай ОРГИЛДЕНТ шүдний эмнэлгийн эмч нарын баг шүд шилжүүлэн суулгах мэс ажилбарыг 11 хүнд амжилттай хийлээ . Таны араа шүд хэрвээ эмчилгээ авахгүй , авахуулах шаардлагатай байгаа бол шүдээ авахуулсны дараа хиймэл шүд хийлгэлгүйгээр өөрийн агт араа шүдийг ашиглан зажлах үйлээ хадгалан үлдэх боломжтой боллоо .
- Циркон шаазан бүрээс
- Металл бүрээс
- Металл шаазан бүрээс
- Нүүрэвч
- Суулгадаг шүдэлбэр
- Түр шүдэлбэр
Бид рентген зураг дээр үндэслэн хүүхдийн шүдний эмчилгээг хийдэг бөгөөд хүүхдийг айдас, өвдөлтгүй эмчилж, үйлчилж байна.
- Урьдчилан сэргийлэх амны хөндийн эмчилгээ
- Фторжуулалт
- Ломбо болон ховил битүүлэх түрхлэг
- Цоорлыг нөхөн сэргээх
- Сувгийн эмчилгээ
- Байнгын шүдэнд зориулсан урьдчилан сэргийлэлт
“Сувгийн эмчилгээ” гэдэг нь шүдний хөндийд байрлах судас мэдрэлийн багц буюу мэргэжлийн хэллэгээр шүдний зөөлцийг эмийн болон мэс заслын аргаар эмчлэх эмчилгээ юм.
| М | Т | W | Т | F | S | S |
|---|---|---|---|---|---|---|
| 1 | 2 | 3 | 4 | 5 | ||
| 6 | 7 | 8 | 9 | 10 | 11 | 12 |
| 13 | 14 | 15 | 16 | 17 | 18 | 19 |
| 20 | 21 | 22 | 23 | 24 | 25 | 26 |
| 27 | 28 | 29 | 30 | |||

